Un abces pulmonar reprezintă o cavitate care se formează în plămân, plină de material purulent, înconjurată de țesut inflamat. De obicei, acesta rezultă din aspirația în plămâni a bacteriilor care trăiesc în faringe sau în cavitatea bucală, în special în șanțul gingival. Abcesul pulmonar poate fi dificil de tratat și poate pune viața în pericol, spun medicii.
Boala gastrointestinală este foarte întâlnită la nivel mondial și este favorizată de virusuri (de exemplu rotavirus, adenovirus, norovirus sau enterovirusuri), bacterii (de exemplu salmonella, E.coli, stafilococ auriu), paraziți sau toxinele produse de aceste microorganisme infecțioase. Specialiștii ne îndrumă cum să ținem afecțiunea sub control.
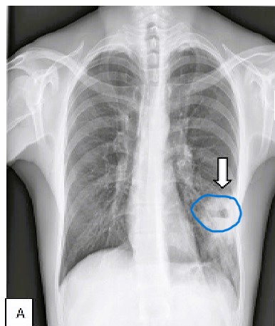
Spitalul de Boli Infecțioase „Dr. Victor Babeș” Timișoara se numără printre puținele unități sanitare din țară în care se utilizează chirurgia toracoscopică video-asistată pentru eliminarea tumorilor pulmonare, dar și pentru diagnosticarea altor tipuri de cancer toracic. Intervenția este rapidă și fără complicații.

Azi în Timișoara

Ce facem astăzi, 5 mai 2026, în Timișoara?
Marți, 5 mai, puteți merge la un concert, la spectacole de teatru sau la expoziții.

Eveniment

Fată de 13 ani pe trotinetă, lovită de o autoutilitară în Lugoj după ce a traversat neregulamentar
O minoră de 13 ani a fost lovită de un bărbat de 54 de ani pe strada Coloman Wallisch din Lugoj, în timp ce traversa neregulamentar pe trotinetă. În umra impactului, fata a fost rănită și dusă de urgență la spital pentru îngrijiri medicale.

Eveniment

Foc la parterul unei case din Timișoara, lichidat de pompieri
Un incendiu izbucnit astă seară la o locuință de pe strada Martir Colonel Ioan din Timișoara a pus pe jar pompierii, care au intervenit rapid pentru stingerea flăcărilor. Din fericire, nu s-au înregistrat victime, iar focul a fost lichidat.

Mapamond

Incident grav în Leipzig. Doi morți și mai mulți răniți după ce o mașină a intrat în zona pietonală
O mașină a intrat în zona pietonală din Leipzig, pe Grimmaische Straße, lovind mai multe persoane. Două persoane au murit și altele au fost rănite grav. Șoferul, care fugise inițial, a fost arestat, iar autoritățile spun că nu există indicii de atac terorist.

Ştiri din Timiș

VIDEO. Autobuze electrice pentru zona metropolitană. Moșnița Nouă intră pe harta transportului verde
Transportul public din zona metropolitană a Timișoarei face un nou pas spre modernizare și ecologie. Începând de astăzi, locuitorii din Moșnița Nouă beneficiază de un autobuz electric modern, introdus pe linia M22. 1

Ştiri din Timiș

Timișoara devine capitala tinerilor catolici. Festival și Liturghie de amploare în 16–17 mai
Timișoara va găzdui, în perioada 16–17 mai, un amplu eveniment dedicat tinerilor din Dieceză, în cadrul Festivalul Tinerilor Timișoara, organizat de structurile Bisericii Romano-Catolice împreună cu parteneri locali și autorități municipale.

Capitală Culturală

„Atemporal – Timeless”: 10 ani de artă și emoție la Moga Gallery Art, celebrați printr-o expoziție aniversară la Timișoara
Timișoara găzduiește, de Ziua Europei, un eveniment cultural cu semnificație dublă: celebrarea a zece ani de activitate ai atelierului de pictură MGA – Moga Gallery Art și deschiderea expoziției „Atemporal – Timeless”, dedicată memoriei, emoției și timpului transpus în artă.

Mapamond

Alertă de raid în Dubai, pe fondul unui atac cu drone atribuit Iranului. Locuitorii se adăpostesc
În Dubai, locuitorii au auzit explozii cauzate de interceptări după o alertă de raid aerian, fiind îndemnați temporar să se adăpostească. Între timp, Emiratele Arabe Unite acuză Iranul că a atacat cu drone un petrolier al ADNOC în Strâmtoarea Ormuz, fără a provoca victime.

Tion.ro logoPentru noi, confidențialitatea Dvs. este importantă

Noi și partenerii noștri utilizăm tehnologii, cum ar fi modulele cookie, și vă procesăm datele cu caracter personal, precum adresele IP și identificatorii cookie, pentru a personaliza anunțurile publicitare și conținutul în funcție de interesele dvs., pentru a măsura eficiența anunțurilor și a conținutului și pentru a obține informații despre publicul care a văzut anunțurile și conținutul. Faceți clic mai jos pentru a vă da consimțământul privind utilizarea acestei tehnologii și procesarea datelor dvs. cu caracter personal în aceste scopuri. Vă puteți răzgândi și puteți schimba opțiunile în orice moment, revenind la acest site.

Pentru detalii apasati aici