Atenție la preparatele din carne în perioada sărbătorilor. Sfaturile specialiștilor de la „Babeș” privind trichineloza

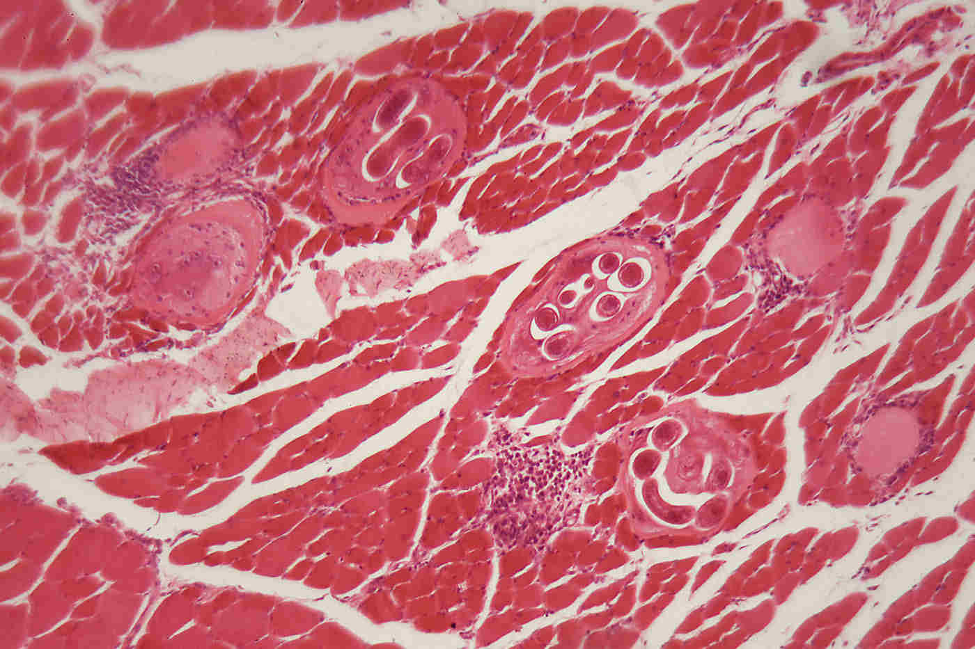
Trichineloza este o boala parazitară produsă de trichinella spiralis, un vierme cilindric care ajunge în corpul uman prin consumul de carne crudă sau insuficient preparată termic, provenită de la animale infestate, cel mai frecvent porci, mistreți sau urși. Dacă carnea care conține acest parazit este consumată de om, paraziții ajung în intestinul său, unde se … Continue reading Atenție la preparatele din carne în perioada sărbătorilor. Sfaturile specialiștilor de la „Babeș” privind trichineloza